Male Indications of Endopeel Gluteoplasty
Post Gluteal Implants



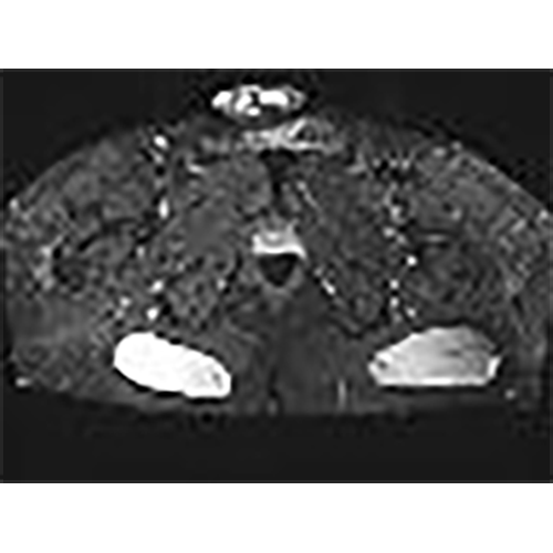
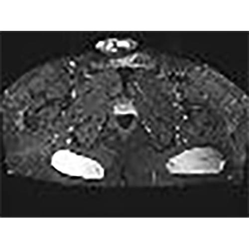
For this case, which will be detailed further, an MRI IS MANDATORY to check the depth as the position of the implants before opting for an indication or an absolute contra indication.

For this case, an MRI IS MANDATORY to check the depth of the implants in case the patient is very thin.
But the indication is easier to settle in such case than in case of Superficial Gluteal Implant ( wished mostly by male patients ).

There is here no contra-indication. But no contra-indication isnt a synonym of indication.
Better say that if endopeel is used in such case, techniques as product cant damage the implants.
2 parameters have to be taken in account :




implants are 102x92x34 big,and position between skin and muscle on depth from the skin 16,7mm

Marking



Immediate Results after 1 st Session
The 55 years old male patient after great results thanks to an endopeel gluteoplasty needs a complete 3 D isovolumetric reshaping of the trapezes and his dorsal back to avoid 2 ages :
- younger age for the butts
- old age of the lower back and trapezes which need an endopeel trapezoplasty .


